Invisalign
The Clearest Way To Straight Teeth

The Clearest Way To Straight Teeth

Start with a free video consultation to discuss your Invisalign treatment options, costs, and payment plans with our experienced orthodontic team.

Visit our clinic for an iTero scan and orthodontic consultation, where we create a digital model and personalised treatment plan just for you.

Experience the freedom of clear, removable aligners that gently realign your teeth for a beautiful, confident smile in as little as 6 months.
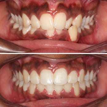
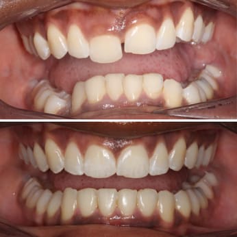
Invisalign is a virtually invisible aligner system to improve your smile; it’s a series of clear plastic removable aligners, no wires, no brackets which makes them comfortable and extremely hard to notice.
Invisalign uses a series of clear aligners to gently shift your teeth into place. Each aligner is worn for a specific period, gradually moving your teeth towards your desired smile.
Invisalign offers numerous advantages, including comfort, discretion, and effectiveness. Unlike traditional braces, Invisalign aligners are removable, allowing you to eat and drink what you want. They’re also virtually invisible, making them a popular choice for adults and teens.
Invisalign is suitable for a wide range of patients, including those with mild to moderate orthodontic issues. Your orthodontist will assess your specific needs to determine if Invisalign is the right treatment for you.
The Invisalign process involves a consultation with your orthodontist, a 3D scan of your teeth, and the creation of a personalised treatment plan. You’ll receive a series of clear aligners to wear throughout your treatment, with regular check-ups to monitor your progress.
Dr. Anthony Lam, our practice principal, has been awarded the “Invisalign Diamond Apex Provider” accolade which is the highest distinction given to Invisalign providers that have demonstrated excellent skills and achieved fantastic results treating the highest number of patients across Europe.”
Let our experienced team guide you to a confident, beautifully straight smile with Invisalign. Book your consultation today, and take the first step toward your dream smile.
"*" indicates required fields
Your information is 100% secured 🔒
We are proud to be official members of:




